عکس انواع زگیل تناسلی در مردان [سرطانی، معمولی و کم خطر]
فهرست موضوعات
بیش از صدها شکل مختلف از ویروس انسانی پاپیلوما (اچ پی وی) وجود دارد، اما فقط چند مورد از آن ها مسئول به وجود آمدن زگیل های تناسلی هستند. در این مقاله عکس از انواع زگیل و ویرس اچ پی وی در مردان نمایش داده شده است.
زگیل تناسلی چه شکلی است؟
زگیل تناسلی معمولاً به صورت برآمدگی های نرم، مرطوب، صورتی یا گوشتی است که عموما در ناحیه تناسلی ظاهر می شود. آنها می توانند برجسته یا مسطح، تک یا چندتایی، کوچک یا بزرگ و گاهی اوقات به شکل گل کلم باشند. آنها می توانند روی فرج، داخل یا اطراف واژن یا مقعد، روی دهانه رحم و روی آلت تناسلی، کیسه بیضه، کشاله ران یا ران ظاهر شوند. پس از تماس جنسی با فرد آلوده، زگیل ممکن است در عرض چند هفته یا چند ماه ظاهر شود یا اصلا ظاهر نشود.
زگیل تناسلی در کدام قسمت رشد میکند؟

محل زگیل تناسلی همیشه با مناطق تماس جنسی مطابقت ندارد. زگیل ها معمولا در محل تماس گزارش شده ظاهر می شوند. با این حال، آنها می توانند حتی در قسمت هایی که افراد سابقه تماس جنسی نداشته اند هم ظاهر شوند.
در مردان، زگیل تناسلی ممکن است در هر یک از مکان های زیر ظاهر شود:
- آلت تناسلی
- ران
- کیسه بیضه
- مقعد (پوست داخلی، خارجی یا مجاور)
زگیل تناسلی می تواند حتی زمانی که هیچ زگیل قابل مشاهده ای نباشد پخش شود.
عکس زگیل تناسلی در مردان
در آقایان زگیل های تناسلی معمولا در نوک آلت تناسلی و اطراف کشاله ران یا بالای آلت شکل می گیرند اما احتمال پدیدار شدنشان در اطراف مقعد نیز وجود دارد، به خصوص زمانی که ویروس مذکور در رابطه جنسی از ناحیه مقعد منتقل شود.
تصویر زیر زگیل تناسلی را روی ساقه آلت تناسلی نشان می دهد. با این حال، زگیل تناسلی می تواند در سایر قسمت های آلت تناسلی مانند اطراف نوک آلت تناسلی و زیر پوست ختنه گاه ظاهر شود. زگیل همچنین می تواند روی کیسه بیضه ظاهر شود.




اکثر شکل های مختلف از زگیل های تناسلی در حدود یک تا سه ماه پس از آلوده شدن، خود را نشان می دهند. اگر فکر می کنید که به ویروس اچ پی وی آلوده شده اید باید حتما آزمایش بدهید تا بدین وسیله از بروز عوارض جانبی و مشکلات و انتقال این ویروس به افراد دیگر خودداری کنید.
-در یک مورد از هر سه مورد، زگیل ها از نوع زگیل تناسلی مقعدی در مردان هستند.
-در یک مورد از هر ده مورد، زگیل های تناسلی در نوک آلت تناسلی شکل می گیرند.
-در یک مورد از هر ده مورد، زگیل های تناسلی در داخل مجرای ادراری شکل می گیرند.
-در یک مورد از هر دوازده مورد، زگیل تناسلی در زیر پوست ختنه گاه شکل می گیرند.
-در یک مورد از هر ۳۰ مورد، زگیل های تناسلی در بین کیسه بیضه ها و مقعد شکل می گیرند.
-در یک مورد از هر صد مورد، زگیل های تناسلی بر روی کیسه بیضه ها شکل می گیرند.
جهت گرفتن وقت ویزیت برای درمان زگیل تناسلی از دکتر متخصص کرایوتراپی زگیل تناسلی در تهران با شماره ۰۹۱۰۶۶۹۱۹۴۷ تماس بگیرید.
شکل ظاهری زگیل تناسلی مقعدی
زگیل مقعدی توسط ویروس پاپیلومای انسانی (HPV)، شایع ترین بیماری مقاربتی (STD) ایجاد می شود. زگیلها روی ناحیه اطراف و داخل مقعد تأثیر میگذارند، اما ممکن است روی پوست ناحیه تناسلی نیز ایجاد شوند. آنها ابتدا به صورت لکه ها یا زائده های ریز ظاهر می شوند که اغلب به کوچکی سر سنجاق هستند.




عکس زگیل تناسلی در دهانه رحم خانم ها
زگیل تناسلی روی لابیا نیز خود را نشان میدهد. با این حال، زگیل تناسلی در خانم ها می تواند در فرج و دهانه رحم نیز ظاهر شود.

عکس زگیل تناسلی در دهانه رحم

عکس زگیل تناسلی در واژن

 
  
 
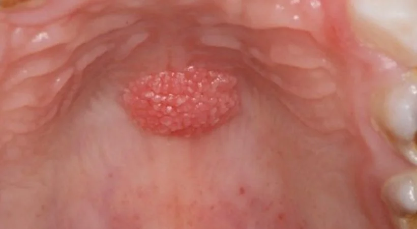
عکس زگیل تناسلی در دهان
HPV دهانی بیشتر از طریق رابطه جنسی دهانی و تماس دهان به دهان منتقل می شود. فرد مبتلا به HPV ویروس را در بزاق و مخاط خود حمل می کند. اگر بزاق یا مخاط با زخم باز یا بریدگی در دهان همسرشان تماس پیدا کند، می تواند گسترش یابد.





عکس زگیل سرطانی
بیشتر زگیل های تناسلی از نوع خوش خیم هستند. زگیل های معمولی اغلب دارای سطحی خشن و برجسته هستند و ممکن است شبیه گل کلم باشند. اندازه آنها می تواند متفاوت باشد و ممکن است به رنگ گوشت، صورتی یا قهوه ای باشند. در مقابل، ضایعات سرطان پوست ممکن است صاف یا پوسته پوسته باشند و می توانند به رنگ صورتی، قرمز، قهوه ای یا سیاه و به همراه زخم یا عفونت، ظاهر شوند.
اگر پزشک به سرطانی بودن زگیل های تناسلی مشکوک شود، نمونه برداری را انجام خواهد داد تا تشخیص نهایی با دقت انجام شود.
برخی از سرطان های پوستی مانند زگیل هستند که در ادامه تصویر برخی از آنها آمده است:
– ایجاد سلول های بازال سرطانی در افراد مسن بیشتر است، اما افراد جوانتر نیز به آن مبتلا می شوند، احتمالاً به این دلیل که زمان بیشتری را در معرض نور خورشید می گذرانند. برخی از آنها ممکن است به صورت برآمدگی های برجسته، صورتی یا قرمز، نیمه شفاف، براق و مرواریدی ظاهر شوند که پس از یک آسیب جزئی خونریزی می کنند.

-ملانوما بسیار کمتر از سرطان پوست سلول بازال و سلول سنگفرشی، شایع است، اما بسیار خطرناک تر می باشد. ملانوم ها ممکن است رنگ های متفاوت و مرزهای دندانه دار داشته باشند. ممکن است گرد نباشند و یک بخش آن ممکن است شبیه نیمه دیگر نباشد.

عکس ویروس اچ پی وی (HPV)
تمامی این حالت های مختلف زگیل های تناسلی توسط یک ویروس مشترک شکل می گیرند که به آن ویروس اچ پی وی می گویند و البته با نام های کاندیلوما یا زگیل های تناسلی و مقعدی نیز شناخته می شوند.

درمان زگیل تناسلی
در رابطه با درمان زگیل تناسلی مردان باید گفت که برخی از انواع زگیل های تناسلی، به خصوص موارد کوچک تر، راحت تر از موارد دیگر درمان می شوند. علاوه بر این، زگیل هایی که بر روی پوست های چرب افراد ایجاد می شوند را راحت تر از زگیل هایی که بر روی پوست خشک افراد ایجاد می شوند می توان درمان کرد. بیشتر انواع زگیل های تناسلی و مقعدی را می توان به کمک کرم های کاندولین و آلدارا درمان کرد. با این حال، اگر زگیل های بسیار مقاوم هستند و تغییری نمی کنند حتما به متخصص مراجعه کنید تا روش های درمانی دیگری نظیر جراحی و یا کرایوتراپی زگیل تناسلی (منجمد کردن زگیل ها به کمک نیتروژن مایع) و یا لیزر درمانی را برایتان در نظر بگیرد.
برای آشنایی با فرق زگیل تناسلی با زگیل معمولی روی لینک زیر کلیک کنید:
بیشتر بخوانید: درمان ویروس اچ پی وی در مردان
دکتر رضا ولی پور متخصص اورولوژی در شهرک غرب


